Skip Menu
Continue
Logo
  • About Us
    • Our Office
    • New Patients
    • Smile Gallery
    • Dental Videos
    • Reviews
  • Our Doctor
    • Baruch B. Lifshitz, DDS
  • Services
      • Crowns & Caps
      • Dental Bridges
      • Dental Fillings
      • Dentures
      • Invisalign®
      • Oral Exams
      • Periodontal Treatment
      • Preventive Program
      • Root Canals
      • Teeth Whitening
      • Veneers
    • View All
  • Dental Health
  • Contact Us
  • (845) 694-7946
  • Request Appointment

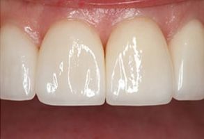
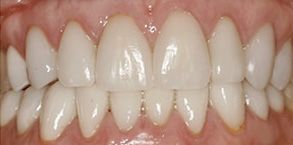
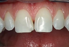
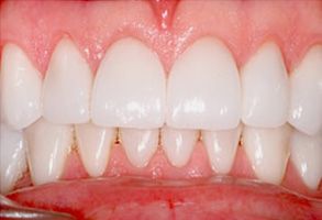
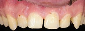
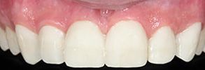
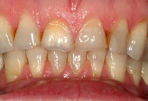
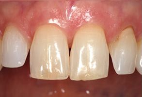
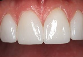
Smile Gallery